If you have a dead tooth, you may be wondering how long it can stay in your mouth before causing problems. While a dead tooth can remain in your mouth for days, weeks, or even years, leaving it untreated can lead to severe complications.
Ignoring a dead tooth can cause pain, discomfort, and infection, which can spread to other teeth and even your bloodstream. In some cases, the infection can be life-threatening. Therefore, it’s essential to seek dental treatment as soon as possible if you suspect you have a dead tooth.
Fortunately, there are several treatment options available to save a dead tooth, including root canal therapy, dental crowns, and tooth extraction. A dental professional can determine the best course of action based on the extent of the damage to the tooth. In this article, we’ll explore how long a dead tooth can stay in your mouth and what you can do to prevent complications.
Understanding Dead Teeth
If you’ve ever experienced a dead tooth, you know how painful and uncomfortable it can be. A dead tooth is a tooth that no longer has a blood supply and nerve function, which can lead to a range of dental problems. In this section, we’ll discuss the causes and symptoms of dead teeth.
Causes of Dead Teeth
There are many reasons why a tooth may become dead. Some of the most common causes include:
- Trauma to the tooth: This can occur due to a fall, sports injury, or other types of accidents.
- Tooth decay: If tooth decay is left untreated, it can spread to the pulp of the tooth, causing it to die.
- Gum disease: Gum disease can cause the gums to recede, exposing the roots of the teeth and making them more susceptible to infection.
- Tooth grinding: Grinding your teeth can cause the enamel to wear away, leaving the tooth vulnerable to infection and decay.
Symptoms of Dead Teeth
The symptoms of a dead tooth can vary depending on the severity of the condition. Some common symptoms include:
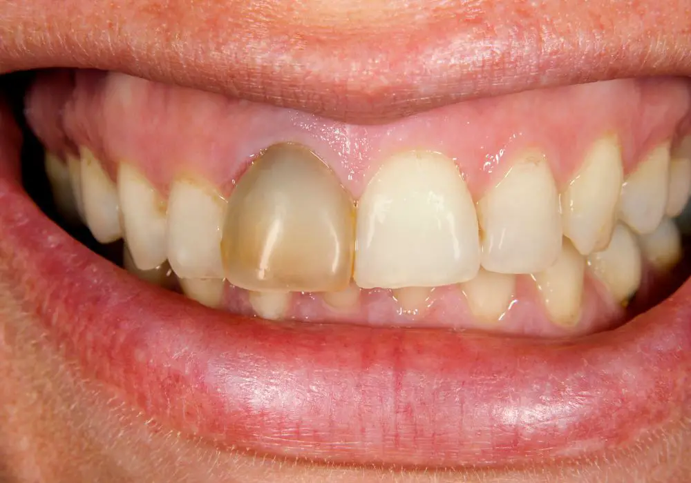
- Discoloration: The tooth may turn gray or black in color.
- Pain or sensitivity: You may experience pain or sensitivity when chewing or biting down on the tooth.
- Swelling: The gums around the tooth may become swollen or tender.
- Bad taste or odor: You may notice a bad taste or odor in your mouth.
If you experience any of these symptoms, it’s important to see your dentist as soon as possible. They can diagnose the problem and recommend the best course of treatment.
How Long Can a Dead Tooth Stay in the Mouth?

If you have a dead tooth, you may be wondering how long it can stay in your mouth. Well, the answer is that it can vary from person to person and depends on the level of damage to the tooth.
In some cases, a dead tooth can stay in your mouth for days, weeks, or even years before it causes severe complications. However, waiting for this to happen poses a major risk to your oral health. Leaving a dead tooth in your mouth can lead to problems such as:
- Tooth pain and discomfort
- Infection
- Swelling
- Abscessing
- Nerve death
- Tooth discoloration
If you have a dead tooth, it’s important to get it treated as soon as possible. The longer you wait, the more likely it is that you will experience complications.
There are several treatment options available for a dead tooth, including root canal therapy, extraction, and dental implants. Your dentist will be able to recommend the best option for your specific situation.
In summary, a dead tooth can stay in your mouth for a varying amount of time, but it’s important to get it treated as soon as possible to avoid complications. Contact your dentist if you suspect you have a dead tooth.
Effects of Leaving a Dead Tooth
Leaving a dead tooth in your mouth can lead to several negative consequences. Here are some of the effects of leaving a dead tooth untreated:
- Tooth pain and discomfort: A dead tooth can cause pain and discomfort in your mouth. It can also cause sensitivity to hot and cold temperatures. If you feel pain or discomfort in your tooth, it’s important to see a dentist as soon as possible.
- Infection: A dead tooth can become infected if bacteria enter the tooth through a crack or cavity. An infected tooth can cause swelling, fever, and other symptoms. In severe cases, an infection can spread to other parts of the body and become life-threatening.
- Tooth loss: If left untreated, a dead tooth can eventually become loose and fall out on its own. Tooth loss can have a negative impact on your ability to eat, speak, and maintain proper oral hygiene.
- Aesthetic concerns: A dead tooth may appear discolored, dark, or grey, which can significantly affect your smile and self-confidence.
It’s important to remember that leaving a dead tooth untreated can have serious consequences. If you suspect that you have a dead tooth, it’s important to see a dentist as soon as possible. Your dentist can evaluate your tooth and recommend the best course of treatment to prevent further damage and improve your oral health.
Treatment Options

If you have a dead tooth, it’s important to seek treatment as soon as possible. Leaving a dead tooth untreated can lead to serious complications, including infection and tooth loss. Here are some treatment options that your dentist may recommend:
Root Canal Therapy
Root canal therapy is a common treatment for a dead tooth. During this procedure, your dentist will remove the dead or dying pulp from inside your tooth and replace it with a filling material. This helps to prevent infection and save the tooth.
After the root canal, your dentist may place a crown over the tooth to protect it and restore its function. With proper care, a tooth that has had a root canal can last a lifetime.
Tooth Extraction
In some cases, a dead tooth may be too damaged to save with a root canal. In these situations, your dentist may recommend a tooth extraction. During this procedure, your dentist will remove the entire tooth from your mouth.
After the extraction, your dentist may recommend a dental implant or bridge to replace the missing tooth. It’s important to follow your dentist’s instructions for aftercare to prevent complications.
Dental Implants
Dental implants are a popular option for replacing missing teeth. They are surgically implanted into your jawbone and topped with a crown that looks and functions like a natural tooth.
If you have a dead tooth that needs to be extracted, your dentist may recommend a dental implant to replace it. Dental implants are a long-lasting and effective solution for missing teeth.
Remember, the best way to prevent a dead tooth is to practice good oral hygiene and see your dentist regularly. If you do develop a dead tooth, seek treatment as soon as possible to prevent complications.
Prevention of Dead Teeth

Preventing dead teeth is essential to maintain good oral health. Here are some tips to help you prevent dead teeth:
1. Practice Good Oral Hygiene
Brushing your teeth twice a day and flossing regularly can help prevent tooth decay, which can lead to dead teeth. Make sure to use fluoride toothpaste and a soft-bristled toothbrush to clean your teeth properly.
2. Visit Your Dentist Regularly
Regular dental checkups are essential to maintain good oral health. Your dentist can detect early signs of tooth decay and treat them before they become a severe problem. They can also identify and treat dead teeth before they cause further damage.
3. Wear Protective Gear
If you play contact sports or grind your teeth at night, consider wearing a mouthguard or a nightguard to protect your teeth from damage.
4. Avoid Sugary and Acidic Foods
Sugary and acidic foods can damage your teeth and lead to tooth decay. Limit your intake of sugary and acidic foods and drinks to maintain good oral health.
5. Treat Tooth Injuries Promptly
If you experience a tooth injury, seek dental treatment immediately. Delaying treatment can lead to further damage and potentially result in a dead tooth.
By following these tips, you can help prevent dead teeth and maintain good oral health.
Frequently Asked Questions
How long can a tooth stay dead before it falls out?
A dead tooth can stay in your mouth for years without falling out. The length of time depends on various factors, such as the cause of the tooth’s death, the location of the tooth, and your overall oral health. In some cases, a dead tooth may never fall out on its own and may require professional intervention.
What are the symptoms of a dying tooth?
The symptoms of a dying tooth may include tooth discoloration, sensitivity to hot or cold foods and drinks, pain when biting or chewing, and bad breath. If you experience any of these symptoms, it’s important to see a dentist as soon as possible.
What does a dead tooth look like?
A dead tooth may appear discolored, usually turning a shade of yellow, gray, or black. The tooth may also feel loose or become more sensitive to pressure or temperature changes.
Is it safe to leave a dead tooth in your mouth?
Leaving a dead tooth in your mouth can lead to serious oral health problems, such as infection and gum disease. It’s important to see a dentist as soon as possible to prevent further complications.
What happens if you don’t remove a dead tooth?
If you don’t remove a dead tooth, the surrounding teeth and gums may become infected, leading to more serious health problems. The infection can spread to other parts of your body and cause serious complications.
What is the treatment for a dead tooth?
The treatment for a dead tooth may include a root canal procedure or tooth extraction. A root canal involves removing the dead tissue from the tooth’s pulp and filling the space with a special material. Tooth extraction involves removing the entire tooth from the socket. Your dentist will recommend the best treatment option based on your individual needs and the severity of the problem.
