If you have a hole or cavity in your tooth, it’s important to get it sealed as soon as possible to prevent further decay and dental problems. While the best solution is to see a dentist for professional treatment, there are some temporary at-home methods you can use to seal a hole in your tooth before you’re able to get to the dentist.
What causes holes in teeth?

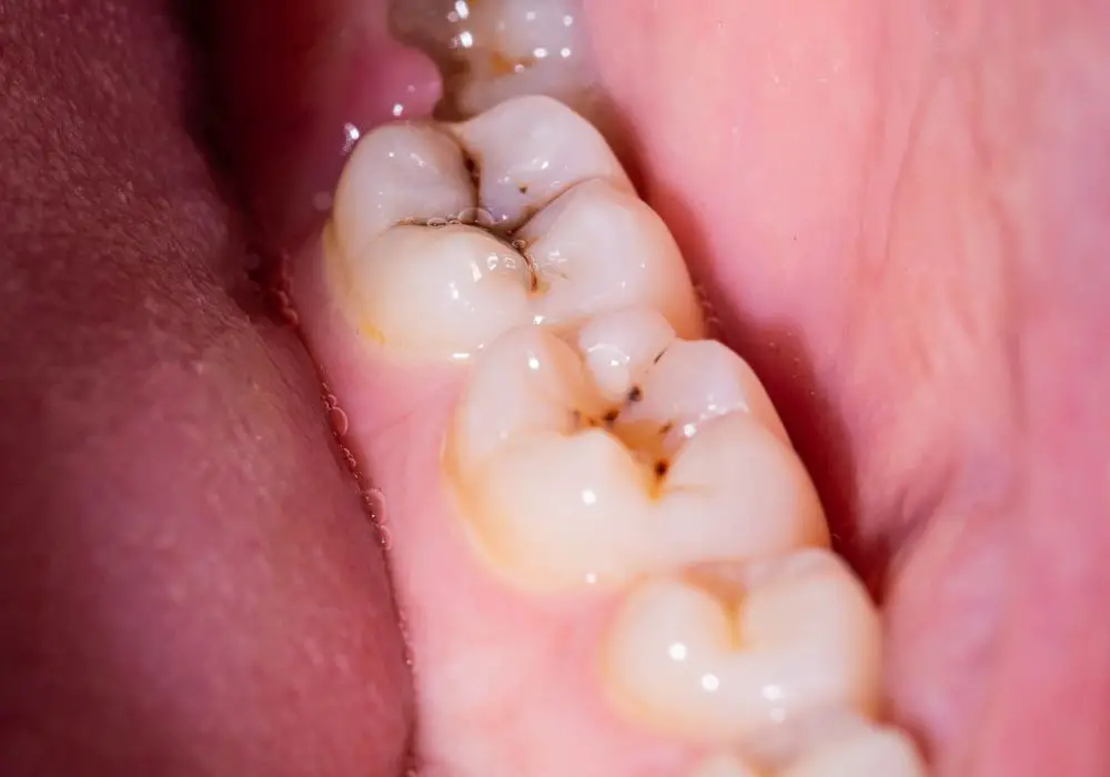
Holes or cavities in teeth are caused by tooth decay. Tooth decay occurs when plaque, which is a sticky film of bacteria, builds up on your teeth. The bacteria in plaque feed on sugars and starches in your food and produce acids that erode tooth enamel (the hard outer coating of teeth). Over time, this erodes a small hole or cavity in the tooth.
Some of the common causes and risk factors for tooth decay and cavities include:
- Poor oral hygiene – Not brushing and flossing regularly allows plaque to build up.
- Frequent snacking/sugar consumption – Bacteria feed on sugar to produce acids.
- Dry mouth – Low saliva flow can’t neutralize plaque acids.
- Gaining too much plaque on your teeth before your permanent teeth come in. This is called baby bottle tooth decay.
Why it’s important to seal a cavity
It’s crucial to seal a cavity or hole as soon as you notice it rather than waiting. Here’s why:
- Prevents further decay – Sealing the hole prevents bacteria from continuing to grow and decay the tooth.
- Stops sensitivity – Exposed tooth dentin underneath a cavity can cause tooth sensitivity and pain. Sealing it provides relief.
- Avoids complications – Left untreated, cavities can lead to severe toothache, dental abscesses, tooth loss and other problems.
- Saves your tooth – Small cavities are reversible if sealed quickly. Otherwise they may require a root canal or extraction.
- Cheaper than fillings – Simple sealants cost less than drilling and fillings.
How to temporarily seal a hole in a tooth at home
Here are some simple, temporary methods to seal a cavity hole until you can see a dentist:
1. Dental cement
Dental cement is designed to temporarily fill holes in teeth. It’s available at most pharmacies and comes in small tubes similar to superglue. Here’s how to use it:
- Clean the tooth thoroughly and dry it.
- Squeeze a small amount of cement onto the cavity.
- Press firmly for 30 seconds to a minute until set.
- Avoid chewing on the tooth until you see a dentist.
2. Dental wax
Dental wax can also temporarily seal up cavities in teeth. Follow these steps:
- Clean and dry the affected tooth.
- Roll a small ball of wax and press it gently but firmly over the hole.
- Leave the wax in place until you can see a dentist.
- Avoid chewing hard foods on the waxed tooth.
3. Chewing gum
Sugar-free gum can be used in a pinch to seal up a hole. Here’s what to do:
- Choose a chewing gum that contains xylitol.
- Chew the gum until it becomes soft and malleable.
- Press the soft gum firmly over the tooth cavity.
- Leave it in place as long as possible.
- Repeat as needed if the gum dislodges.
4. Over-the-counter dental cement
Some commercial dental cements like DenTek are available at pharmacies to temporarily fill cavities at home. Follow the product instructions to apply it properly over the hole.
5. Oil of clove
Oil of clove has natural antibacterial properties that can help kill bacteria in a cavity. Follow these instructions:
- Clean and dry the cavity hole.
- Soak a small cotton ball in clove oil.
- Use tweezers to gently pack the cotton into the hole.
- Leave it in place for several hours before removing.
- You can repeat this a few times a day until seeing a dentist.
When to see a dentist

While the at-home methods above can provide temporary relief, it’s essential to still see a dentist as soon as possible to treat the cavity professionally before it gets worse. Avoid delaying more than a few days.
See a dentist immediately if you have:
- Severe toothache
- Tooth swelling
- Dental abscess
- Facial swelling
- Sensitivity to hot/cold foods
- Chipped or broken teeth
The dentist will examine your mouth and take x-rays to determine the severity of decay. For small cavities, they may recommend:
- Fluoride treatments to remineralize enamel
- Sealants to cover pits and fissures
- Fillings (composite, amalgam, gold)
- Crowns if the cavity is very large
For more advanced decay, they may recommend root canals, tooth extractions, or dental implants for missing teeth. Leaving cavities untreated can lead to serious infections and tooth loss.
Prevention tips
Preventing cavities in the first place is always better than treating them. Here are some tips:
- Brush teeth twice daily with fluoride toothpaste
- Floss daily to remove plaque
- Limit sugary and starchy snacks and drinks
- Chew xylitol gum to increase saliva flow
- Get dental cleanings and checkups every 6 months
- Don’t smoke – smoking increases cavity risk
Maintaining good oral hygiene and avoiding cavity-causing habits will help keep your teeth decay-free. But if a cavity does develop, seal it promptly to limit damage.
What are the best products to temporarily seal a cavity at home?
If you have a cavity and are unable to see a dentist right away, there are some over-the-counter dental products available that can help temporarily seal and fill the hole until you can get professional treatment:
Dental Cements
- DenTek Temporary Filling Material – self-hardening cement that bonds to tooth to seal out bacteria and food. Lasts up to 1-2 weeks.
- Tempanol – Eugenol-free dental cement for temporary cavity relief. Sets hard to seal the cavity.
- Cavit – Fast-setting zinc oxide cement. Contains fluoride to prevent further decay. Hardens into a temporary filling.
Dental Waxes
- DenTek Dental Guard Dental Repair – Designed to seal cavities and broken fillings. May last a few weeks if the cavity is not too large.
- Cavity Closure – Soft orthodontic wax that’s easy to mold and insert into a cavity to act as a temporary filling.
Medicated Cements
- Red Cross Toothache Medicine – Contains benzocaine to relieve pain and eugenol to seal the cavity. Temporary filling for a few days.
- Oil of Cloves – Has natural numbing and antibacterial properties. Can provide temporary relief when applied to a cavity.
Other
- DentalPep Repair – Peppermint-flavored gel that hardens to temporarily fill cavities with zinc oxide. Contains sodium fluoride.
- Salonpas Oral Pain Patch – Adhesive patch with benzocaine that can be placed on the tooth, gum or jaw to numb severe pain from a cavity.
Be sure to carefully read and follow product labels and directions. See a dentist as soon as possible for evaluation and permanent treatment of any cavities. Leaving them unfilled may lead to serious dental infections and damage.
Step-by-step instructions on how to temporarily fill a cavity at home

Filling a cavity yourself at home should only be a temporary solution until you can see a dentist. Here are step-by-step instructions on how to safely fill a cavity at home before your dental appointment:
Supplies Needed
- Dental cement or temporary filling product
- Cotton swabs or dental floss
- Tweezers (optional)
- Small spoon or dental spatula (optional)
- Toothpick (optional)
- Small compact mirror (optional)
Steps
- Clean the tooth cavity thoroughly – Use a cotton swab moistened with water to gently clean out any debris. You can also try using dental floss.
- Dry the cavity – Use a clean cotton swab or piece of gauze to absorb any saliva or moisture. It must be dry for the cement to bond.
- Prepare the filling product – If using dental cement, squeeze a pea-sized amount onto a spoon or spatula. Or open and prepare the temporary filling product according to package directions.
- Fill the cavity – Carefully insert the material into the hole using a toothpick or dental instrument. Ensure it fills the entire cavity.
- Press firmly – Use a cotton swab to press down on the material, compacting it tightly into the cavity. Apply pressure for 30 seconds to 1 minute.
- Optional – You can use tweezers to pack pieces of cotton coated in oil of cloves or toothache medicine into the cavity before sealing it. This helps numb pain.
- Set time – Avoid drinking, eating or chewing from that side of the mouth for at least 30 minutes to allow the material to fully harden.
- See a dentist – Make a dental appointment ASAP. Do not delay treatment. Temporary fillings are only short-term solutions to protect your tooth.
Follow product instructions closely and keep the filled area clean while awaiting professional dental treatment. Seek emergency care if you have signs of a dental abscess like facial swelling. With prompt care, damaged teeth can often be repaired and saved.
Frequently Asked Questions About Sealing Tooth Cavities
How long does a temporary filling last?
A temporary filling like dental cement or wax can last anywhere from a few days to a few weeks if the cavity is small and you’re careful not to chew hard foods on that side. See a dentist as soon as possible though.
Should I put oral pain reliever on the cavity?
Yes, you can use a small amount of toothache gel or oil of cloves to help numb pain before applying the temporary filling. This also has antibacterial properties. Avoid using too much.
How do I know if the cavity is infected?
Signs of an infected cavity include severe throbbing pain, tooth sensitivity, swelling, tenderness when chewing, or pus draining from the gum. This requires urgent dental care.
Is there anything I can apply to help remineralize the cavity?
Unfortunately no. Remineralization involves replacing lost tooth minerals with fluoride, calcium, and phosphate ions. This requires professional-strength fluoride treatments. Avoiding sweets and brushing with fluoride toothpaste can help slow demineralization until you can see a dentist.
What happens if I wait too long to get it treated?
Leaving a cavity untreated can lead to an abscess, tooth loss, infection spread, extreme pain, and high treatment costs. It’s important to see a dentist right away if you notice a cavity so it can be filled before reaching the nerve. Don’t delay treatment.
Sealing up a tooth cavity promptly is crucial to prevent additional decay and dental complications. While DIY methods can temporarily relieve pain, professional dental treatment is still required as soon as possible. See a dentist immediately if your cavity is causing severe symptoms. With early intervention, damaged teeth can frequently be restored.
