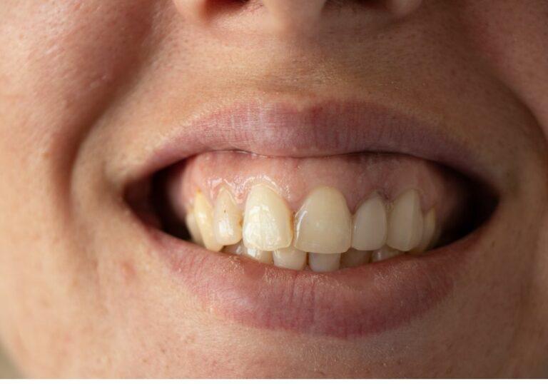
It’s very common for adults to find their bottom front teeth becoming more crooked and crowded with age. Even if you had straight teeth as a child or got orthodontic treatment like braces, your bottom teeth can still shift over time. There are a number of reasons this happens.
Causes of Crooked Bottom Teeth

Natural teeth shifting
Teeth are not permanently fixed in bone – they can gradually shift and rotate over time, especially the bottom front teeth. The lower front teeth are the most prone to crowding and movement for several reasons:
- They are small with limited surface area embedded in bone
- They do not have the upper teeth putting vertical pressure on them to stay upright
- They protrude outward, exposing them more to forces from chewing and lips
- The lower jaw has less bony support and is more flexible compared to the upper jaw
These factors allow the bottom teeth to naturally drift and become misaligned. Even if they were perfectly straight, the aging process itself contributes to minor teeth shifting in most people.
Problems from missing teeth
When you lose teeth, including wisdom teeth, it leaves empty space in the dental arch. The surrounding bone no longer has a tooth root within it, so it gets resorbed by the body over time. This causes the adjacent remaining teeth to loosen up as they lose bone support.
As more space opens up, the other teeth will tilt or drift into the gaps. This is especially noticeable in the front bottom teeth since they already have the least bone support. Molars help hold everything stable, so losing them accelerates crookedness.
Periodontal disease
Chronic gum inflammation and advanced periodontal disease destroys the ligaments and bone structure around teeth. This bone loss is irreversible without treatment. The teeth end up loosening and spreading apart or drifting in various directions. Even minor bone loss can lead to subtle tooth movement.
Problems after braces
After orthodontic treatment with braces, teeth have a tendency to migrate back towards their original position over time. This “relapse” occurs because the jawbones, gums, and facial muscles still retain memory of the tooth’s old position. Even with retainers, some rebound effect occurs.
The bottom teeth relapse more noticeably because they are already at higher risk of shifting due to limited bone support and other factors. Wearing retainers as directed helps minimize relapse after braces.
Habits like tongue thrusting
Constant abnormal pressure from oral habits can skew teeth out of alignment. For example, a tongue thrust swallowing pattern exerts excessive forward pressure on the bottom teeth. This constant forward force from the tongue slowly pushes teeth forward and causes flaring or gaps.
Clenching and grinding
Clenching or grinding your teeth puts added force on the teeth and can push them out of ideal alignment over time. The upper and lower front teeth take the brunt of these forces. Grinding and clenching are more common during sleep, which most people aren’t aware of. This leads to gradual crookedness.
Contributing Factors

Certain conditions make some people more predisposed to having crooked bottom teeth as adults:
- Small jaws or limited space – Less room means teeth are more likely to crowd
- Young age – Younger adults in their 20s to 30s tend to have more crowding as they still have active facial growth and change over time. Older adults’ teeth shift less drastically.
- Previous orthodontics – Teeth that were already straightened with braces are more prone to relapse.
- Missing teeth – This allows remaining teeth to drift and tip into empty spaces.
- Gum disease – Bone loss from periodontal disease facilitates teeth movement.
- Genetic factors – Jaw sizes and shapes, tooth sizes, arch width, and other anatomical factors under genetic influence affect alignment.
- Gender – Females often have slightly smaller jaw sizes, increasing crowding risk.
Problems Caused by Crooked Teeth
Having crowded or crooked lower teeth can lead to a number of oral health and appearance issues:
- Increased plaque buildup – Crooked overlapping teeth are harder to clean properly. This allows more plaque to accumulate in hard-to-reach areas. Plaque buildup raises the risk for tooth decay, gum inflammation, and periodontal disease.
- Chewing difficulties – Misaligned teeth don’t mesh together properly for efficient chewing. This can lead to problems biting and chewing certain foods. It also allows food debris to get trapped between teeth more easily.
- TMJ disorders – Jaw joints and muscles must compensate when the bite is off. Crooked teeth can cause TMJ pain, soreness, clicking, locking, and difficulty opening.
- Tooth wear – The uneven contact between crowded teeth can lead to abnormal wearing of tooth surfaces and enamel.
- Recession – Food and bacteria get packed into narrow spaces between crooked teeth. This chronic irritation causes the gums to recede and expose sensitive root surfaces.
- Speech changes – Subtly crooked teeth can change how you pronounce certain words. For example, a slight lisp may develop.
- Facial profile – Crooked, protruding front teeth affect your smile and facial profile. Lips don’t close properly and more chin protrusion occurs.
- Self-esteem – Improperly aligned teeth are often perceived as less attractive. Crooked teeth can diminish self-confidence and affect social interactions.
Treatment Options
If you want to fix crooked bottom teeth, there are various orthodontic treatments to choose from:
- Traditional metal braces – Braces utilize brackets, wires, and rubber bands to move teeth into proper alignment. Treatment takes about 18-24 months on average but offers very precise control over tooth positioning for the best bite.
- Ceramic braces – These function similarly to metal braces but have tooth-colored or clear ceramic brackets that blend in better with natural teeth.
- Clear aligners – Popular brands like Invisalign use a series of clear plastic trays that gradually move teeth. Aligners are removable, less noticeable, and easier to keep clean compared to braces. However, treatment times are longer and results may not be as thorough.
- Lingual braces – Brackets and wires are bonded to the backs of teeth so they are hidden. Effective but takes extra skill.
- Tooth removal – Extracting select teeth may help create needed space to allow straightening of remaining teeth with braces. This option is selectively done when other space-gaining methods are limited.
- Jaw surgery – Repositioning the jawbones along with braces can significantly improve crooked teeth due to jaw size discrepancies or deformities. Surgery has risks so other options should be tried first.
- Veneers – These thin shells bonded to front teeth can mask crooked teeth by improving their cosmetic appearance. However, veneers don’t actually move teeth so they don’t address any functional issues.
Maintaining Straight Teeth After Treatment

Successfully straightened teeth often relapse to some degree later on without proper retention. Ways to help maintain properly aligned teeth long-term include:
- Wearing retainers as prescribed – Removable or fixed retainers hold teeth in their new positions after braces. Retainers must be worn for many months or years at night or part-time.
- Using a nightguard – Nightguards protect against grinding and keep teeth properly in place.
- Getting minor refinement with aligners or braces over time – A dentist may have you do short touch-ups periodically.
- Practicing excellent oral hygiene – Brushing, flossing, and professional cleanings protect bone support for teeth.
- Correcting abnormal oral habits like tongue thrusting. Habits put additional pressures on teeth.
- Getting a stable bite from orthodontic treatment – How the upper and lower teeth fit together greatly affects stability.
Some gradual shifting of teeth is still expected over decades. But following these tips minimizes relapse after spending time and money to straighten your teeth.
Frequently Asked Questions
Can crooked teeth be prevented with retainers?
Wearing retainers as directed after braces helps prevent teeth from relapsing back to a crooked state. They hold the teeth in their new straightened positions while the gums, bones, and muscles adapt to the changes. However, some gradual shifting is still likely over time without repeated orthodontic intervention.
Can crooked teeth affect your appetite?
Misaligned teeth, especially severely crooked teeth, can make biting and chewing more difficult. This might reduce the foods you can eat comfortably. Properly aligned teeth allow for efficient chewing and maximal surface contact with food, making eating easier.
Do crooked teeth affect speech?
Minor crooked teeth usually don’t affect speech in a very noticeable way. But significant crowding or misalignment can impact speech clarity and cause a “lisp” sound. Getting teeth straightened can help eliminate speech issues caused by crooked teeth.
Should I get my 12 year old’s crooked teeth checked?
It’s a good idea to get an orthodontic evaluation for a child around age 12 if their teeth appear crooked. Catching issues early while jaw growth is still in progress gives more correction options. Early intervention can lead to shorter treatment times and prevent worsening of bite problems.
Can braces work if teeth are very crooked?
Even significantly crooked teeth can be effectively straightened with braces and orthodontic techniques. However, the more misaligned the teeth are initially, the longer the expected treatment time to get them properly positioned. Complex cases usually take 2+ years with braces.
Conclusion
There are a multitude of reasons why your bottom teeth may shift and become crooked with age, even if they were straight before. Common causes include natural drifting, missing teeth, gum disease, orthodontic relapse after braces, habits, and small jaw size. While rarely an emergency, addressing crooked teeth can greatly improve your oral health, function, and smile. Consulting an orthodontist for options like Invisalign or traditional braces can get your bottom teeth straight again and provide proper long-term retention. With dedication and maintenance, aligned teeth can be maintained longer as you age.
